Successful Intervention at PAÜ Hospital: Corn Kernel Removed from Patient’s Airway

22.07.2025
Prof. Dr. Göksel Altınışık Ergur, faculty member at the Department of Pulmonary Diseases at Pamukkale University (PAÜ) Hospitals, emphasized the serious risks posed by foreign bodies entering the airways. Through a successful intervention, a corn kernel that had entered a patient’s trachea was removed, and the patient regained her health.

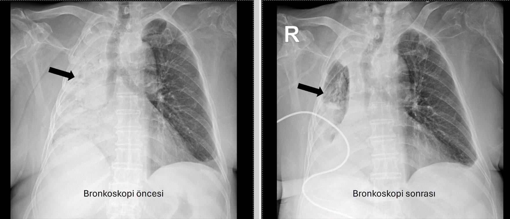
Prof. Dr. Göksel Altınışık Ergur shared the following information: “Foreign body aspiration into the airways usually occurs as a result of sudden and unexpected incidents. Normally, the epiglottis, located between the esophagus and the windpipe, prevents food from entering the airways by mistake. However, this protective mechanism may fail during situations such as laughing, talking, or feeding patients in a lying position. When foreign objects like nuts, chickpeas, liquids, needles, or dental prostheses enter the airways, the body reacts strongly through the cough reflex. Depending on the size of the object and where it becomes lodged, symptoms such as shortness of breath, cyanosis, and even death can occur. If the object cannot be expelled through the Heimlich maneuver or coughing in the initial stage, bronchoscopy is required. This procedure is typically performed under general anesthesia using a rigid bronchoscope, a metal tube. Failure to remove the object can lead to lung collapse (atelectasis) due to the cessation of air flow and result in persistent infections, potentially causing permanent lung damage. Foreign body aspiration is not limited to children; it can occur in adults as well. Early diagnosis and proper intervention can be life-saving. Our patient, who aspirated a corn kernel, was a 78-year-old retired female teacher who had been bedridden at home due to a stroke resulting from a cerebral artery blockage 11 years ago. Although she was conscious, she was entirely dependent on bed care and unable to perform daily activities. She was also undergoing treatment for heart failure and epilepsy. In recent months, she had frequent hospitalizations due to lung infections, and a bronchoscopy performed at another center a month ago had revealed no problems. Since bedridden patients are at high risk of frequent infections, hospital admission and bronchoscopy were appropriate approaches. The patient was referred to us after her latest admission to another hospital, where a CT scan revealed complete closure of the right lung.”

 

Prof. Dr. Göksel Altınışık Ergur: “The Heimlich maneuver saves lives”

 

Stating that emergency bronchoscopy was planned and promptly performed after it was confirmed from previous tests that the airway to the right lung was completely blocked, Prof. Dr. Altınışık Ergur noted that the patient’s medical history lacked signs typically associated with foreign body aspiration—such as coughing, cyanosis, or sudden shortness of breath—thus making it necessary to determine the underlying issue. She continued: “While examining the airways with a flexible bronchoscope, we observed very dense and dark secretions. It was clear that a thorough cleaning was required to proceed. Using an aspirator (a device that removes internal fluids), sterile fluid was administered and suctioned to clear the airways. Then, a yellow object was detected in the airway leading to the right lung. It was clearly a foreign body, and its resemblance to a corn kernel was evident. While this could have been treated with rigid bronchoscopy under general anesthesia, due to the patient’s poor overall condition—especially considering her comorbidities and infection—the risks of general anesthesia were high. Therefore, we opted to attempt removal at that moment. By using the suction power of the aspirator, it was possible to extract the object. The tip of the bronchoscope was placed against the body of the yellow object, and through suction, the two were tightly adhered to each other. By carefully maintaining the suction power, the foreign object and bronchoscope were successfully removed from the airways together. After the procedure, when the patient’s relative was asked again about any relevant medical history involving corn, it was revealed that the patient had eaten pizza topped with corn five months earlier. Since there had been no immediate symptoms, the possibility of aspiration had not been considered. This case, showing that such events can occur without notice in frail patients eating solid foods, highlights the importance of evaluating such patients with the thoroughness of a detective.”

İlgili Haberler